| ■ デュアルホワイトニング (ホームホワイトニング&オフィスホワイトニング) |
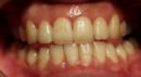
32歳 男性 通院回数:1回

施術前
 |
施術後
 |
結婚式前に、妻にブライダルホワイトニングをしようと言われ、なんとなくやっていただきました。
普段気にしていなかった歯が、ここまで白くなるとは!!歯を大切にしようと改めて思いました。
|
|
26歳 女性 通院回数:1回

施術前
 |
施術後
 |
結婚式前に、主人とブライダルホワイトニングをしようと思い、こちらにお願いしました。
写真で見ても明らかですが、歯の黄ばみがとれて、とてもきれいになり、感動しました。
|
|
40歳 女性 通院回数:1回

施術前
 |
施術後
 |
歯医者さんで、オフィスホワイトニングをしてもらい、すぐに白くなったのですが、さらにお家でホームホワイトニングを数日間しました。
ホームホワイトニングは、面倒でしたが、確実に歯の色が明るくなっていったので、とても嬉しかったです。
|
|
39歳 女性 通院回数:1回

施術前
 |
施術後
 |
自分では、比較的白い方だと思っていましたが、もっと白くなりたかったので、ホワイトニングをしました。
本当に、以前よりもっと白くなり、大満足です。
|
|
31歳 女性 通院回数:1回

施術前
 |
施術後
 |
すぐに着色してしまうので、ホワイトニングは、定期的に通っているくらいはまっています。
歯が白いのは、7難隠しますね^^
|
|